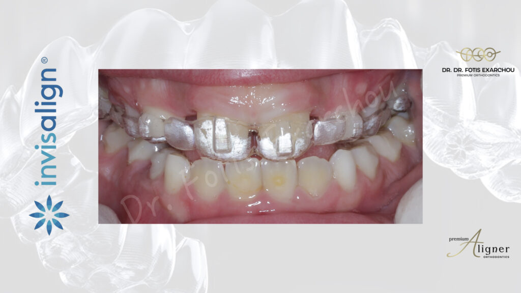
Invisalign Case 31
Invisalign
Ηλικία: 8 ετών
Κλινικά ευρήματα: Ανάστροφη οριζόντια πρόταξη (“ανάποδο δάγκωμα”) σε βάση προγναθισμού της κάτω γνάθου
Χρονική διάρκεια: 5 μήνες με συνολικά 30 σετ διάφανων μεμβρανών Invisalign First (αλλαγή ανά 5 ημέρες). Μετά την ανατολή όλων των μονίμων δοντιών θα ακολουθήσει θεραπεία δεύτερης φάσης






